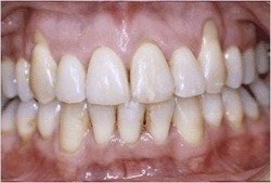
Eksempler​

1​

​​1. Tænderne er skæve, fordi der mangler plads.

​2. Tandstillingen efter behandlingen med fast apparatur og tandudtrækning.

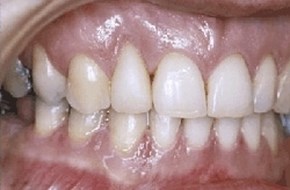
2

  1. ​Hjørnetænderne sidder højt og skævt og reflekterer derved lyset, så smilet ser uharmonisk ud.
  2. Tænderne set tættere på.
  3. Der er skabt harmoni og balance.

3

​1. Pladsmanglen er koncentreret om den højre fortand, som fanges af læben.

2. Behandlingen giver både et pænere smil og bedre funktion.

4

​1. De to store fortænder i overmunden er kippet og drejet.

2. Efter behandling står tænderne parallelt.

5

​1+2. Pladsmangel i mindre omfang er behandlet med en let beslibning i tændernes mellemrum og en fast bøjle.

6

Forløb af en behandling med den nye Damon-bøjle.

  1. Smilet før behandling.
  2. Tandstillingen.
  3. Efter ca. 5 måneder, bøjlen er begyndt at virke.
  4. Afslutningen nærmer sig.
  5. Færdigt resultat.
  6. Smilet efter behandling.​

7 - II. Overbid og underbid​

Overbid med strittende fortænder.​

 

​1. Underlæben ligger bag fortænderne og presser dem frem, så der kommer mellemrum.

2. Efter behandling kan læberne lukkes harmonisk.​

8

  1. ​Set fra siden lægger man mest mærke til at de to små fortænder stritter.
  2. Efter behandling.
  3. Smilet.

9

​1+2. Pladsmangel i mindre omfang er behandlet med en let beslibning i tændernes mellemrum og en fast bøjle.

2. Efter behandling er overbiddet og mellemrummene lukket.

10

  1. ​Her er underbiddet så stort, at bøjlebehandlingen skal kombineres med en operation af kæben udført på hospital.
  2. Det er en omfattende behandling, som kan være nødvendig når der er store afvigelser i kæbernes stilling. En sådan behandling vil være dækket af det offentlige.

11 - ​III. Dybt bid og Slidte tænder.

  1. ​Fortænderne i overkæben bider helt ned og skjuler underkæbetænderne, som rammer op i ganen. Underkæben kan ikke frit bevæge sig fremad, hvilket kan give spændinger og muskelsmerter. Et dybt bid generer som regel ikke i de unge år og fordi tænderne står pænt og lige vil mange gerne undgå be- handling, men fortryder det når generne opstår. Dybt bid behandles lettest mens man stadig vokser, men kan stadig behandles med godt resultat.
  2. Efter behandling er fortænderne i overkæben løftet op, så underkæben har fri bevægelse.​

12

  1. ​Dybt bid har presset fortænderne skæve.
  2. Efter behandling er tandbuerne rettet op, fortænderne er lige og biddet ikke længere dybt.

13

​Eksempel på samarbejde mellem specialist og egen tandlæge.

  1. Tænderne er slidte og misfarvede. Biddet er dybt, fordi fortænderne i overkæben er vokset for langt ned.
  2. Virkningen på smilet er at tandkødet ses alt for meget.
  3. En bøjle er nødvendig for at løfte tænderne på plads.
  4. Tandreguleringen er færdig og egen tandlæge har et godt udgangspunkt for at lave nogle pæne kroner.
  5. Det færdige resultat af samarbejdet.

14

  1. ​Selv om man er ung, kan et forkert bid sammen med kraftige muskler forårsage slid.
  2. Der er ikke meget tilbage af fortænderne, når man tager alderen i betragtning.
  3. Det er især gået ud over fortænderne i overkæben.
  4. Der skal skabes plads til udbygning af fortændernes størrelse ved at tænderne løftes op og lidt fremad.
  5. Tænderne er udbygget til naturlig størrelse.
  6. Nu er lysten til at smile vendt tilbage.​

16

​1+2. Lukning af et stort mellemrum mellem fortænderne.

17

​1+2. For at lukke mellemrummet helt kombineres tandregulering med nye kroner på fortænderne.

​3+4. Smilet før og efter behandling.

18 - Tænder der har flyttet sig af paradentose

  1. ​Når knoglen nedbrydes af paradentose har tænderne tendens til at vandre. Paradentose skal behandles hos egen tandlæge, men tandregulering kan skabe et godt resultat.
  2. ​Efter behandling skal tænderne fikseres med en tråd på bagsiden resten af livet.

19

​1. En lokal skade på knogle og tandkød har skabt uæstetiske forhold omkring en fortand.

2. En tandregulering kan afhjælpe det uheldige indtryk.

20

  1. ​I forbindelse med paradentose er underkæbens fortænder presset indad og tandkødet er hævet op.
  2. Med fast bøjle er underkæbens tandbue rettet ud, så tænderne står lige og er lettere at holde rene. Samtidig er det dybe overbid behandlet.

21 - VI. Tandmangel og implantater

  1. ​De blivende små fortænder og hjørnetænderne i overkæben mangler, mælketænderne er ikke faldet ud. Fortænderne har spredt sig på grund af tandmanglen.
  2. Med tandregulering er biddet blevet rettet, mellemrummet er lukket og der er indsat implantater, der hvor de manglende tænder skal erstattes.
  3. Røntgenbillede med implantaterne. Der er også indsat implantater for de manglende tænder i underkæben.
  4. Til sidst er der lavet porcelænskroner hos egen tandlæge.

22

  1. ​Smilet før behandling.
  2. Egen tandlæge skal lave en kunstig tand ved hjælp af et implantat.
  3. Rødderne er ikke rettet godt nok op ved en tandregulering i barndommen, der er ikke plads nok til implantatet ved rodspidserne.
  4. En ny tandregulering har rettet rødderne op og implantatet er sat ind.
  5. Der er lavet en krone på implantatet hos egen tandlæge.
  6. Smilet efter den fælles indsats fra kirurg, ortodontist og protetiker.

23 - VII. Tænder der er stadet ved ulykke

  1. ​Den ene fortand er slået ud, men roden sidder tilbage.
  2. I stedet for straks at trække resten af tanden ud, flyttes rodstumpen (nu med midlertidig plastik på) langsomt ud af kæben. Derved skabes knogle og tandkød.
  3. Det er nu meget lettere at lave en smuk tanderstatning med et implantat.

24 - VIII. Forbedring af smil

  1. ​Tænderne bider godt sammen, men der er alt for stor afstand fra mundvigen til tænderne, så der dannes en mørk trekant i begge sider.
  2. Tandbuerne er bredt ud med en indvendig bøjle, som har givet et langt flottere smil.

​3+4. De to ansigtsfoto viser virkningen af et bredt smil.

25

  1. ​Tænderne er pæne og hvide og står kun lidt uregelmæssigt.
  2. Alligevel er der mange, som ønsker det helt perfekt, som her efter behandling både i over- og underkæben.

Skriv til os​

 
 
 
 
Nogle felter er ikke udfyldt korrekt

Specialtandlægerne

Specialtandlæger i ortodonti ApS

CVR: 20015888​

Åbningstider​

Mandag   9.00 - 17.00​

Tirsdag    8.00 - 16.00​​

​​Onsdag   8.00 - 16.00​​

Torsdag   9.00 - 17.00​​

Fredag     8.00 - 12.00​​

Telefontider

Mandag - Onsdag​ ​9.00 - 14.00

​Torsdag ​9.00 - 11.00

​​Fredag   ​8.00 - 10.00